(646) 558-3757 Appointment
wavy shadow accent logo
stairs accent

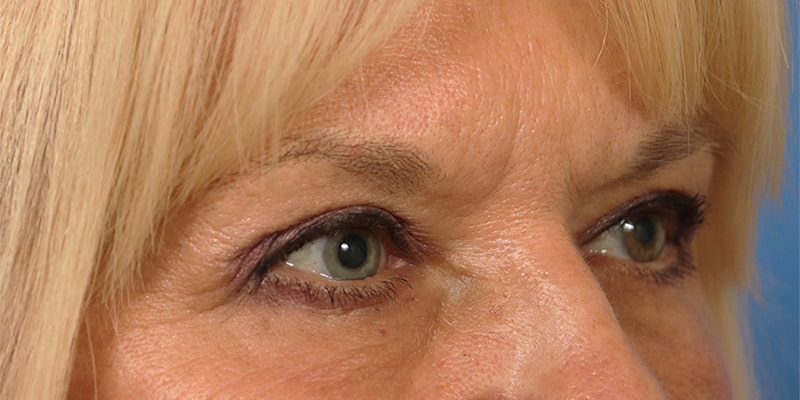
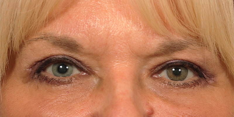
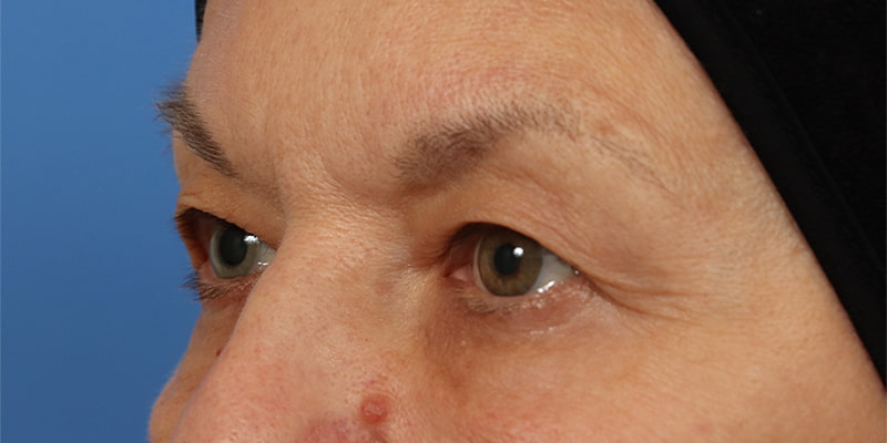
Upper Blepharoplasty Gallery

A Luxury Cosmetic Practice

At RENATA Facial Cosmetic Surgery, patients receive excellent customer service, communication, personal attention, and scheduling flexibility. Located in the historical and breathtaking waterfront neighborhood of DUMBO, Brooklyn in New York City, our office serves local neighborhoods including Brooklyn Heights, Park Slope, Williamsburg, and Cobble Hill, as well as Manhattan and New York City at large.

Our office location is:
58 Prospect Street, Brooklyn, NY 11201

By submitting this you agree to be contacted by RENATA Facial Cosmetic Surgery via text, call or email. Standard rates may apply. For more details, read our Privacy Policy.

Holiday Sale